Flash Infos
Actualités chaudes, alertes et breaking news en direct au Sénégal et en Afrique
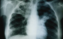
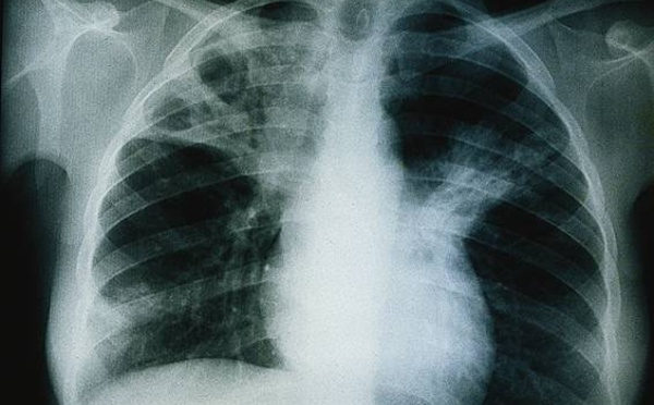
La tuberculose est la maladie infectieuse la plus meurtrière au monde. Au Sénégal, 13 166 cas, toutes formes confondues, ont été enregistrés en 2016. Selon les chiffres du ministère de la Santé, le...
Trente-six malades sénégalais atteints du cancer se font soigner par radiothérapie au Maroc, aux frais de l’Etat du Sénégal, a annoncé, jeudi, à Dakar, la ministre de la Santé et de l’Action sociale,...
La dépouille d’un pêcheur sénégalais disparu au large de la Gambie avec quatre de ses collègues a été retrouvée jeudi, a indiqué le ministre de la Pêche et de l’Economie maritime, Oumar Guèye, sans...
En cette période préélectorale, tous les états-majors politiques affûtent leurs armes. Annoncé depuis longtemps, c’est finalement le 8 avril prochain que le maire de Podor va lancer son mouvement...
La région de Dakar concentre 45 pour cent de la totalité des cas de tuberculose recensés au niveau national, a fait savoir mercredi la coordinatrice du Programme national de lutte contre la...
Au moins 34 présumés Jihadistes croupissent dans les prisons sénégalaises. Si certains cas, tels Imam Alioune Ndao et Makhtar Diokhané, sont très médiatiques, d’autres n’attirent pas l’attention....
La chambre criminelle du Tribunal de grande instance (TGI) de Tambacounda (est) a condamné mardi un quadragénaire à sept ans de travaux forcés, lui reprochant d’avoir donné un coup de couteau mortel...
Accusant son fils de six ans d’avoir volé la somme de 350 F CFA, un père, Ibrahim, a puni son fils en lui brûlant ses deux mains à l’aide d’un fourneau contenant du feu ardent. Le chef du service...
Rémy Sagna, le directeur de cabinet du ministre de la Culture et de la Communication, a estimé mardi à Dakar que la dernière édition du Festival national des arts et cultures (FESNAC) avait connu "un...
Le procès de 38 jeunes présumés coupables de "faits de vandalisme, destruction de biens publics, trouble à l’ordre public et association de malfaiteurs" se tiendra le 29 mars prochain, à Kolda (sud),...
Ndarinfo.com ©2011 - 2025

